معلومات سريعة من المهم معرفتها عن مرض أعتلال المشيمية و الشبكية المصلي المركزي
أذا بدت أعراض مثل ضبابية الرؤية و ظهور بقعة مركزية و خطوط و متعرجة أو صعوبة في القراءة يجب عند ذاك الذهاب الى الطبيب المختص من أجل تشخيص الحالة بشكل صحيح إذ يمكن ان يكون السبب اعتلال المشيمية و الشبكية المصلي المركزي أو اي مرض آخر في الشبكية. الضغط النفسي و الحمل و تناول أدوية فيها كورتيزون و الأضطرابات الهرمونية الأخرى كل هذه العوامل تشكل أسباباً للأصابة بالمرض
|
أعراض اعتلال المشيمية و الشبكية المصلي المركزي |
|
ضبابية الرؤية ضعف القدرة البصرية ظهور بقعة سوداء مركزية في مجال الرؤية رؤية خطوط متعرجة عند القراءة مشكلات في التركيز الأحساس برؤية الأشكال أصغر مما هي عليه في الحقيقة |
|
من المهم جداً الذهاب الى طبيب العيون من أجل التشخيص الصحيح |
هو مرض غير شائع لكن يجب دائما أن نعلم عنه لأنه الرابع بين أمراض الشبكية الأكثر خطورة على البصر من بعد مرض الأعنلال المرتبط بالعمر أو مرض أنسداد الأوردة و الوذمة البقعية الناتجة عن مرض السكري
هو من الأمراض التي تصيب فئة البالغين من الشباب من هم في عقدهم الثالث و الرابع من العمر ألا أن الدراسات الأخيرة على السكان أثبتت بانه يصيب النساء أيضاً لكن في أعمار متقدمة
لمعرفة هذا المرض فانه من المهم القيام بتشخيص تفريقي بمعنى تشخيص المرض عن مرض آخر مثل الأعتلال الوعائي سليلي الشكل (و هو نوع من التنكس البقعي المرتبط بالعمر , أو متلازمة فوجت كويناجي هارادا (نوع من ألتهاب العنبية ), أورام حميدة (مثل وحمة أو ورم وعائي دموي), أو أورام أكثر خطورة و خبيثة (كالأورام الميلانية أو اللمفاوية)
يأتي المرضى الى الطبيب عندما تظهر عليهم أعراض:
من المهم الفصل بين نوعين من مرض أعتلال المشيمية و الشبكية المصلي المركزي, بحسب مدة الأصابة:
اعتلال المشيمية و الشبكية المصلي المركزي المفاجئ و يستمر لفترة قليلة و محددة (أي تختفي أعراضه من ذاتها), و لذلك تكون مؤشرات شفاء البصر جيدة في هذه الحالة, يجب الأنتظار لمدة ثلاثة أشهر تقريباً من أجل أعادة تقييم المرض
أما بالنسبة الى أعتلال المشيمية و الشبكية المصلي المركزي المزمن فأن الأصابة تكون أكثر خطورة و حيث تضعف حدة البصر بسبب أضطرابات على المستوى التشريحي مما ينتج عنه تغييرات لا يمكن علاجها في الظّهار الصباغي و هي طبقة تقع تحت الشبكية لها دور رئيسي في عمل مستقبلات الصور و لهذا السبب يكون من الضروري أجراء تشخيص جيد من أجل وضع خطة علاج بحسب الحالة
لماذا يحدث اعتلال المشيمية و الشبكية المصلي المركزي ؟
على الرغم من البحوث العديدة الموضوعة عن هذا المرض لكن ما زال غير معروف بشكل دقيق فهناك العديد من النظريات. واحدة من هذه النظريات المهمة جداً و ذات قاعدة علمية واسعة هي التي تستند على أختلال التوازن الهروموني بحيث تعمل الهورمونات القشرية السكرية عمل الهرمونات القشرية المعدنية مما ينتج عنه ألتهاب المشيمية و النسيج الوعائي الذي يغذي العين و الذي يقع تحب الشبكية
عند تمدد الأوعية الدموية و زيادة نفاذيتها الى الحد الذي يبدأ فيه السائل بالتراكم في المشيمية حيث يتوقف عند منطقة الظّفار الصباغي التي تضعف بمرور الوقت أمام تدفق السوائل فتبدأ بالنفاذ من تحت الشبكية مسببة بذلك المرض الذي أصطلح على تسميته أعتلال المشيمية و الشبكية المصلي المركزي
فضلاً عن هذه العوامل المباشرة المرتبطة بالهرمونات فقد أجريت الأبحاث على عوامل خطورة أضافية:
يستدل على المرض من خلال أعراض مثل ضبابية الرؤية و البقعة المركزية و الخطوط المتعرجة أذ يبدأ تشخيص المرض من خلال هذه الأعراض
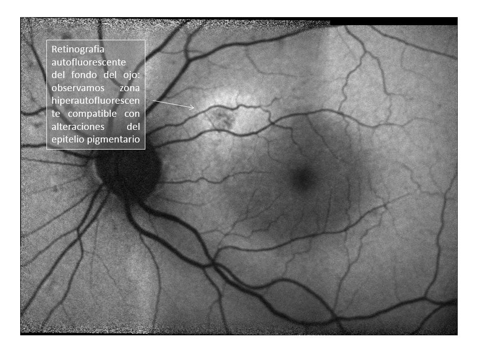
نقوم بأجراء فحص غير عميق: أي فحص قاع العين بواسطة الضوء الشقي و بأستخدام العدسات و تُستخدم في الفحص أيضاً التكنولوجيا الحديثة مثل التصوير المقطعي التوافقي البصري و هو عبارة عن فحص العين بواسطة موجات الضوء التي تسمح لنا برؤية أنسجة الشبكية و السائل المتراكم تحت الشبكية من المهم أستخدام أحدى خصائص التصوير المقطعي التوافقي البصري المتوفر في مركزنا من أجل فحص المشيمية بشكل مفصل لأنها مكان المرض
و في حالة وجود مرض آخر وراء أستمرارية أعراض المرض و وجود تراكم للسائل تحت الشبكية في ذلك الوقت يجب أجراء فحوصات باستخدام مادة تحقن في الوريد أشبه بأجراء تصوير بالأشعة السينية لكن بأستخدام مادة الفلوريسين مع خضرة الأندوسيانين هذه الفحوصات تساعد أيضاً بوضع خطة للعلاج و من خلالها يمكن معرفة حالة المشيمية و تحديد مكان النضح أي من حيث يتسرب السائل الذي يتراكم لاحقاً تحت الشبكية أيضاً هناك بعض الفحوصات الأخرى التي يمكن القيام بها من أجل معرفة أذا ما كانت مستقبلات الصور قد تعرضت بسبب المرض لتغيرات غير قابلة للمعالجة و من هذه الفحوصات نذكر مثلاً المجال البصري و التخطيط الشبكية المتعدد البؤرة أو الفحص المجهري للمجال البصري
يعتمد العلاج على نوع أعتلال المشيمية و الشبكية المصلي المركزي
النوع المفاجئ
اذا كان المرض مفاجئاً لا ننصح بأجراء أي علاج لأن نسبة 80 الى 90 بالمئة من الحالات في هذا النوع تتعالج من ذاتها. الأمر الذي يجب القيام به هو الأستمرار على الفحص بشكل دوري
النوع المزمن
في حالة كان المرض مستمر أو متكرر أو يسبب ضعف حاد في الرؤية أو أن يكون عمل المريض يتطلب نسبة رؤية جيدة إذذاك يجب التفكير بالعلاج
يرتبط ظهور المرض بأستخدام أدوية الكورتيزون و لذلك يجب على المريض وقف أستخدامها و أستشارة الطبيب المختص المسؤول على علاجه
كذلك محاولة التخفيف من الضغط النفسي رغم انه من الصعب تحقيق ذلك لكن بعض المرضى قد تتحسن حالتهم من خلال ممارسة الرياضة و اليوغا و النظر الى الحياة برؤية مختلفة
من العلاجات الأكثر أستخداماً و ذا قاعدة علمية صلبة و هو المعالجة المتقوية بالضوء . لهذا العلاج فاعلية بنسبة 85 بالمئة تقريباً فهو يحد من تكرار ظهور أعراض المرض هناك احتمال 40 بالمئة بأن يظهر المرض من جديد و لذلك يكون من المهم أستخدام العلاج المناسب لمنع حدوثه
المعالجة المتقوية بالضوء هو نوع من المعالجات العميقة لأنها تتم من خلال الحقن لمُركب متفعّل بالضوء و الذي يُسهل عملية المعالجة بالليزر على المنطقة المصابة فقط و هو ما يُرشدنا أليه المركب المتفعل بالضوء
في الوقت الحالي هناك أبحاث لمعرفة أمكانية أستخدام الليزر المجهري Micropulse في العلاج يبدو بأنه أختيار جيد لم ألا أنه لم تثبت نتائج الدراسات
أيضاً يمكن ان المعالجة عن طريق الحقن المضاد للعائية في الجزء الزجاجي و هو ما يسمى عامل نمو بطانة الأوعية الدموية المستخدم في علاج التنكس البقعي المرتبط بالعمر أو وذمة الشكري البقعية و لهذا العلاج أنتشار واسع جداً في مجال طب العيون
توجد أيضاً علاجات دوائية أخرى ذات قاعدة علمية غير مثبتة لحد الآن لكن التجارب الأولى كشفت عن أحتمال فاعليتها و هذه العلاجات عبارة عن مضادات من كورتكويدات معدنية مثل ابليرينون و سبيرونولكتون
متى يجب زيارة طبيب العيون؟
في حالة ظهور أعراض مثل:
فضرورة مراجعة طبيب العيون لا تكمن فقط بعلاج مرض اعتلال المشيمية و الشبكية المصلي المركزي، خاصةً في حالته المزمنة، لكن أيضاً من أجل أجراء تشخيص تفريقي و للكشف بشكل مبكر عن امراض التنكس البقعي المرتبط بالعمر و التي تتشابه اعراضها مع هذا المرض

راسلنا أو حدد موعداً مع فريقنا الطبي.